由上海市口腔医学会修复工艺专委会和上海交通大学医学院附属第九人民医院共同举办的“3Shape全国数字化口腔设计大赛”于2022年3-6月进行了初赛,学院口腔医学技术专业组织了2019级口腔本科专业8位学生参赛。近期组委会公布经过专家评委们历时1个月的评选,从美观性,密合度,临床需求和牙齿功能等方面进行评比,分数由高到低,在265位的参赛学生的146件作品中评选出50件优秀作品入选复赛。我院2019级口腔医学技术本科专业方妤宸、孟怡麟、陈心怡、彭阳婷、刘智、胡正昊6位学生成功晋级复赛。
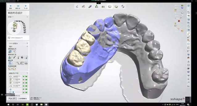
3Shape全国数字化口腔设计大赛已举办多年,设计大赛已成为数字化口腔修复工艺设计交流甚至是口腔医疗发展方向及人才培养摇篮之一。2022年首次设置了学生组。大赛初赛设定为线上进行,运用3shape口腔数字化设计软件对组委会指定的牙齿模型进行修复体设计,设计完成后作品上传组委会指定邮箱。
结合我校应用型人才的培养定位,让学生能在学习和应用之余,发挥更多的创意,感受数字化牙科的蓬勃发展,体验中国数字化牙科行业的未来,学院口腔医学技术专业前期做了精心的组织和准备。大赛备赛时间恰逢上海疫情暴发,学生无法线下集训,经过陈凤贞副院长多次协调与上海市口腔医院的大力支持下,8位参赛学生能够轮流利用远程软件在线进行口腔数字化设计训练。专业教师王金伟负责此次参赛学生的具体备赛事宜,师生自3月底报名开始组织集训到6月初递交参赛作品完成初赛,前后经历了2个多月。此外,在专业教师王凯的协助下,还邀请上海3shape公司罗怡老师针对设计软件的使用方法为学生进行了直播讲解;邀请口腔专业资深外聘周企文老师对学生作品进行直播点评。学生们对于此次大赛都非常重视,积极主动、一丝不苟地按照老师制定的备赛计划有条不紊的开展训练,并且按照要求顺利提交了初赛作品。我校的参赛组织工作也得到了组委会的鸣谢。
下阶段专业教师将利用暑期根据复赛要求组织晋级学生加强训练,在指导学生牢固掌握基础知识前提下,注重特殊病例修复知识的运用。期待同学们能取得更好的成绩。
(永利总站ylzz55)


